Melbourne Smile Clinic
Covid-19 precautions in place: Routine Dental treatment is available for patients who present no Covid-19 risk factors. Patients who have tested positive to Covid-19 and/or display Covid-19 symptons are advised to delay dental treatment until clear of all risks.  Patients will need to hand-sanitise and use a disinfecting mouthrinse prior to treatment being provided. All our staff is currently vaccinated as per mandated by the Victorian Government.
 

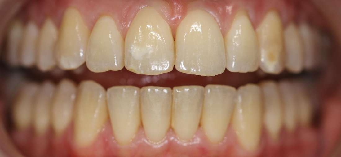
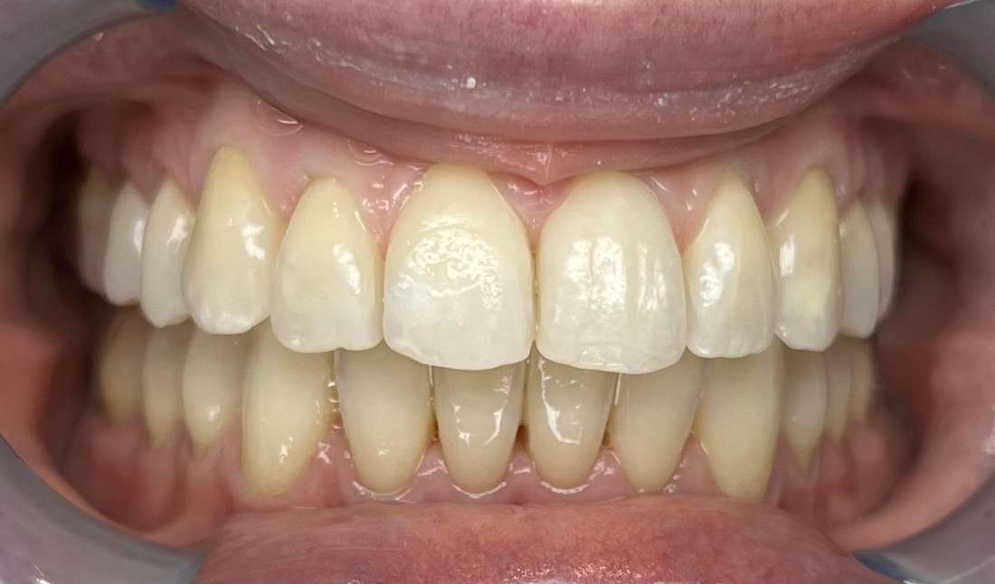
Treatment of white and brown spots

White and brown spots on teeth are caused by mineralisation defects in the tooth enamel during development. Even though these spots are not caused by decay and do not affect the strength of the teeth, they can stand out.

In this case, we successfully faded the appearance of the white and brown spots with a series of surface chemical treatment, followed by bleaching. No veneers or fillings were necessary to achieve this result. Veneers and fillings need to be replaced over time. By avoiding those, long term maintenance is kept to a minimum.

This shows that a satisfactory cosmetic improvement can be achieved with a conservative and minimally invasive approach. 

Related Services:

Teeth Whitening / Bleaching
Not finding what you need?
Any surgical or invasive procedure carries risks. Before proceeding, you should seek a second opinion from an appropriately qualified health practitioner.
Privacy Policy