Melbourne Smile Clinic
Covid-19 precautions in place: Routine Dental treatment is available for patients who present no Covid-19 risk factors. Patients who have tested positive to Covid-19 and/or display Covid-19 symptons are advised to delay dental treatment until clear of all risks.  Patients will need to hand-sanitise and use a disinfecting mouthrinse prior to treatment being provided. All our staff is currently vaccinated as per mandated by the Victorian Government.
 

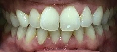
Invisalign to straighten rotated and tipped front teeth

This patient has slightly crowded teeth with rotated and prominent upper central incisors that also tipped sideways. Invisalign clear aligners were used over a 17 weeks period to improve alignment of the teeth as requested by the patient. 

Related Services:

Teeth straightening
Ready to book an appointment?
Any surgical or invasive procedure carries risks. Before proceeding, you should seek a second opinion from an appropriately qualified health practitioner.
Privacy Policy