Melbourne Smile Clinic

Composite bonding

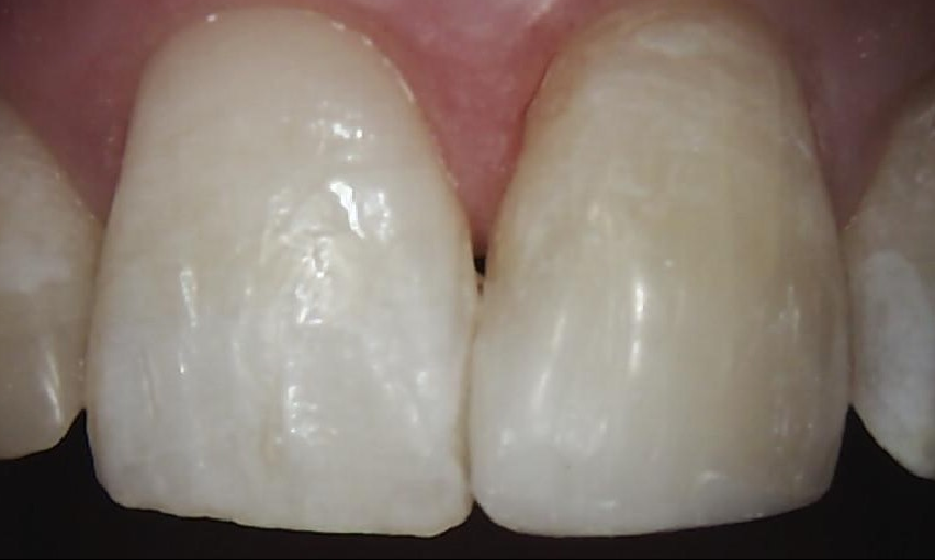
To repair this broken incisor, Dr Yew used direct composite resin bonding to give an instant result which blended in with the natural enamel of the tooth. Composite bonded fillings can be done in one visit and can give an aesthetic and seamless result for front teeth. 

Ready to book an appointment?
Any surgical or invasive procedure carries risks. Before proceeding, you should seek a second opinion from an appropriately qualified health practitioner.
Covid-19 update: Level 1 restrictions in Place
All routine dental treatment can be provided. Covid-safe plan in place: screening of patients will be carried out before an appointment is booked. Rubber dam for dental procedures will be used as much as possible.  Patients who have tested positive for Covid-19 or are awaiting test results, showing any symptom of covid-19 or have been in contact with an infected person are asked to delay dental visits. Social distancing measures have been set up in the waiting room as well as the staggering of appointments. Patients must use the alcohol-based handrub provided before and after treatment. For more information on restriction levels in Dental Practice, please click hereThank you.