Melbourne Smile Clinic

Composite bonding

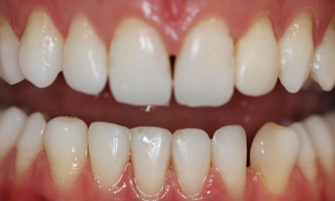
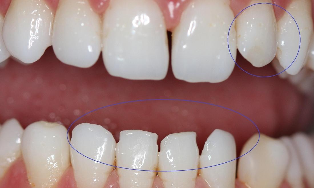
Composite resins can be directly bonded to teeth to improve their shape and contour for a more harmonious smile. In this case, the misshapen and chipped front teeth (as circled) have been recontoured by direct composite bonding to give a seamless finish and more harmonious smile.

Ready to book an appointment?
Any surgical or invasive procedure carries risks. Before proceeding, you should seek a second opinion from an appropriately qualified health practitioner.
Covid-19 update: Level 1 restrictions in Place
All routine dental treatment can be provided. Covid-safe plan in place: screening of patients will be carried out before an appointment is booked. Rubber dam for dental procedures will be used as much as possible.  Patients who have tested positive for Covid-19 or are awaiting test results, showing any symptom of covid-19 or have been in contact with an infected person are asked to delay dental visits. Social distancing measures have been set up in the waiting room as well as the staggering of appointments. Patients must use the alcohol-based handrub provided before and after treatment. For more information on restriction levels in Dental Practice, please click hereThank you.