Melbourne Smile Clinic
Covid-19 precautions in place: Routine Dental treatment is available for patients who present no Covid-19 risk factors. Patients who have tested positive to Covid-19 and/or display Covid-19 symptons are advised to delay dental treatment until clear of all risks.  Patients will need to hand-sanitise and use a disinfecting mouthrinse prior to treatment being provided. All our staff is currently vaccinated as per mandated by the Victorian Government.
 

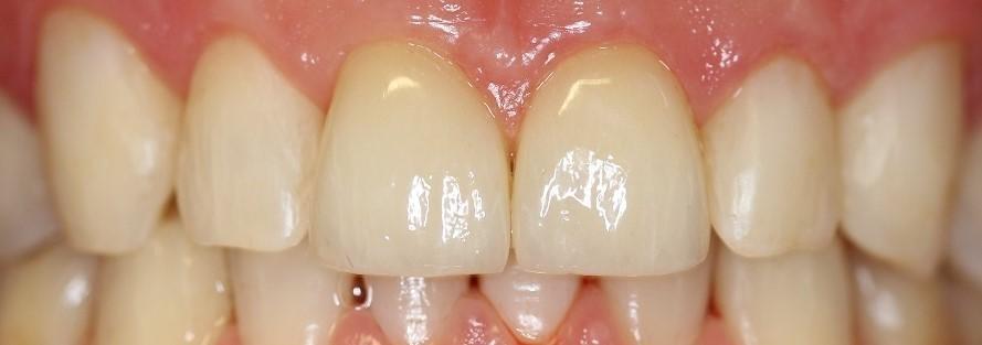
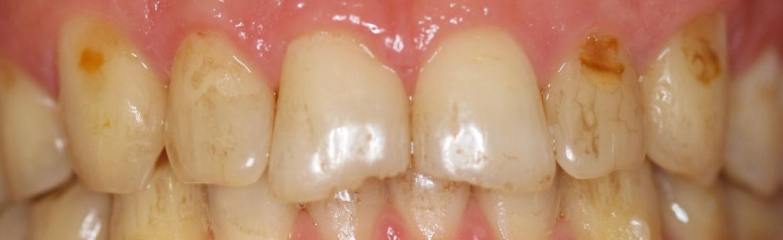
Ceramic Veneers & Composite Bonding

A traumatic bite led to the front teeth wearing down and chipping. To achieve this result, the bite was first corrected with orthodontic treatment. The teeth were bleached and ceramic veneers were then placed on the 2 central incisors. Resin composite bonding was then done on the other front teeth to cover the worn surfaces and mask the defects. 

Getting an appointment is fast and easy!
Any surgical or invasive procedure carries risks. Before proceeding, you should seek a second opinion from an appropriately qualified health practitioner.