Melbourne Smile Clinic
Covid-19 precautions in place: Routine Dental treatment is available for patients who present no Covid-19 risk factors. Patients who have tested positive to Covid-19 and/or display Covid-19 symptons are advised to delay dental treatment until clear of all risks.  Patients will need to hand-sanitise and use a disinfecting mouthrinse prior to treatment being provided. All our staff is currently vaccinated as per mandated by the Victorian Government.
 

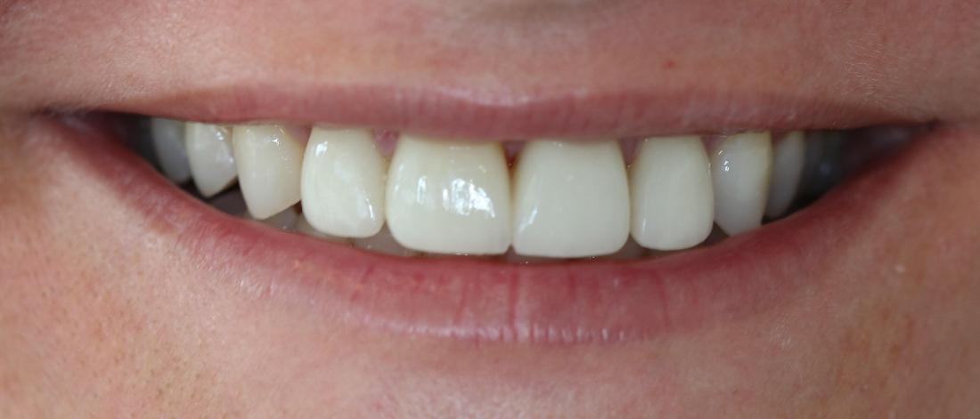
Ceramic crowns for worn down front teeth

Teeth can get worn down over time from grinding and erosion, leading to an uneven appearance and thinned out, transparent enamel. Full ceramic crowns were placed on those worn down front teeth to rejuvenate the smile and restore harmony and esthetics. The crowns also prevent further wear of the teeth. 

Related Services:

Crown & Bridge Work
Improve your smile today – call to schedule a consultation!
Any surgical or invasive procedure carries risks. Before proceeding, you should seek a second opinion from an appropriately qualified health practitioner.
Privacy Policy