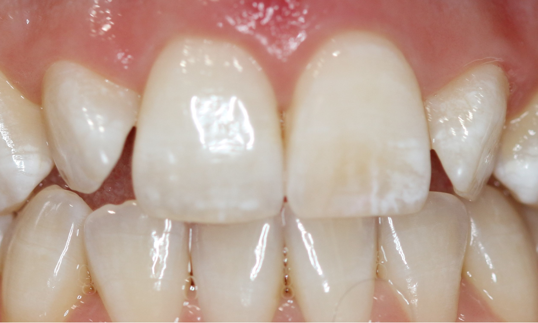
Tooth enamel can sometimes be affected with white or brown spots within the tooth substance. These enamel defects arise while the tooth enamel is being formed and are intrinsic to the tooth substance. Cleaning and brushing will not remove these spots. If small, they are not noticeable. But if large enough, the affected tooth can appear to be unclean or decayed.
Removing these defects could involve drilling them out and placing a filling material in the tooth. However, at the Melbourne Smile Clinic, we want to take a conservative approach and treat the tooth enamel with a re-mineralising agent that can greatly reduce and even remove these spots without the need for invasive treatment. The pictures show a case of a large brown spot lesion on an anterior tooth that was successfully treated in such a way.


